• Home
  • The Bays of Naples and San Francisco Unite (again), this Time for Science

The Bays of Naples and San Francisco Unite (again), this Time for Science

By Mauro Battocchi

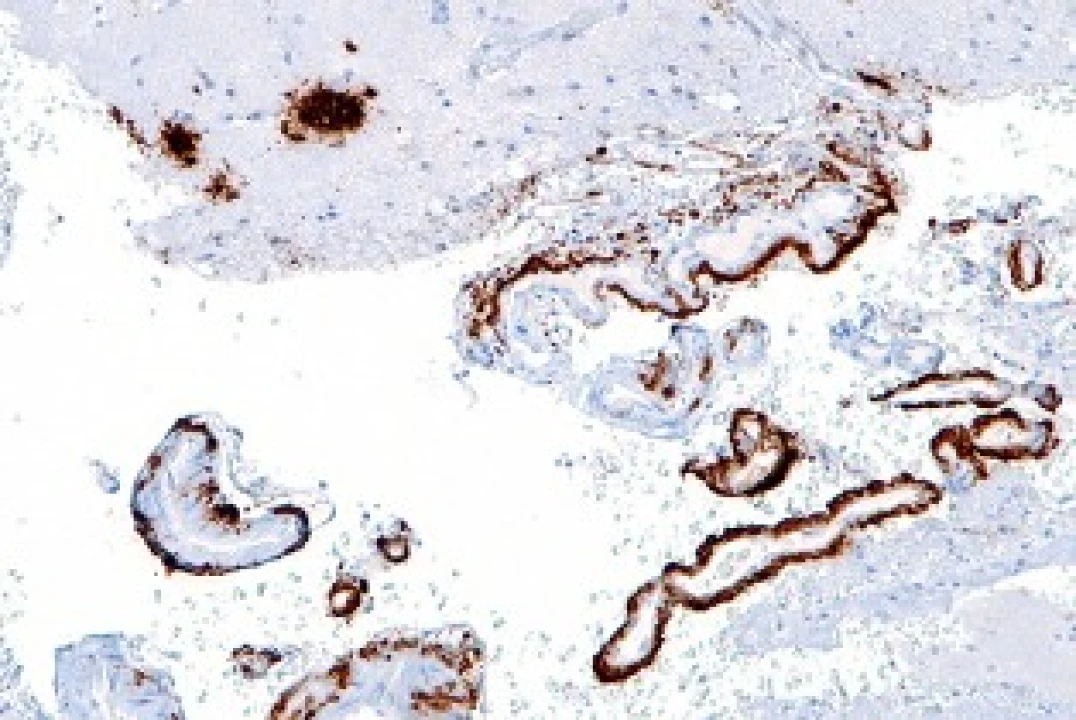
The momentum of cultural exchange between Naples and San Francisco has been going strong for some time. The exchange has included rare jewels and costumes, cooperation on human rights, the startup scene and, of course, the historic joint performance of Verdi's Requiem by the SF Opera and Naple's Teatro di San Carlo.

Recently, another plank was laid in the bridge that unites the Two Bays: the international meeting "Biophysics of Amyloids and Prions", an initiative of the University of California, San Francisco and the University Federico II of Naples, within a larger collaborative project, named 2 Universities by the Bay, aimed to facilitate relationships and common research projects.

Read more

Fonte: San Francisco, Italy

PREVIOUS POST
Areas
Categories
We the Italians # 196